Was unsere Ultraschallgeräte für die Kardiologie auszeichnet
Service und Beratung mit Herz
Echokardiografie: unsere medizinischen Ultraschallgeräte für Ihre Praxis
Ultraschallgeräte für die Kardiologie
Auf Ihre Bedürfnisse abgestimmt
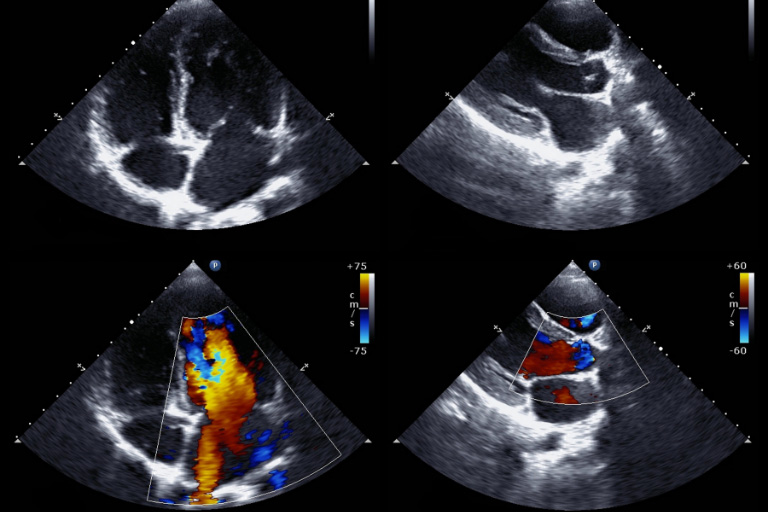
Die Echokardiographie gehört zu den am häufigsten durchgeführten Diagnostikmethoden der Kardiographie. Mit medizinischen Ultraschallgeräten von Fischer med. Technik wird aus Routine ein Erlebnis: Moderne Geräte mit sinnvollen Add-Ons und intelligenten Funktionen werden zur Bereicherung für Ihre Praxis. Lassen Sie sich von unseren Experten beraten und erleben Sie Ultraschall der Extraklasse.


Ultraschall-Diagnostik in der inneren Medizin
Wir wissen, was ein Ultraschallgerät können muss
Auf unsere Geräte können Sie sich verlassen. Unsere Ultraschallgeräte für die Kardiologie kommen voll ausgestattet mit zahlreichen Sonden und Funktionen, die Abläufe in Ihrer Praxis optimieren. TEE-Sonden für die transösophageale Echokardiographie und Sektorsonden für transthorakale Echokardiographie gehören bei unseren Ultraschallgeräten für die innere Medizin zur Standardausstattung. Mit intelligenten Funktionen wie 3D-Programmen, Farb-Doppler-Einstellungen und Ablaufprotokollen für die Belastungsechokardiografie überzeugen unsere medizinischen Ultraschallgeräte in jedem Szenario.
Unsere Ultraschallgeräte, Ihr Vorteil
Ultraschallgeräte beim Marktführer kaufen
Bei Fischer med. Technik sind Sie rundum betreut. Eine ausführliche Beratung und die europaweit größte Ausstellung für medizinische Ultraschallgeräte garantieren, dass wir das richtige Gerät für Ihre Praxis finden. Ob neu oder gebraucht, zum Kauf oder zur Miete, bei uns finden Sie die richtige Lösung für Ihre Praxis. Auch für langfristige Nutzungsfreude ist gesorgt: unsere Tochterunternehmen sind auf Wartungen und Reparaturen von Ultraschallgeräten und -sonden spezialisiert.

Echter Mehrwert für Ihre Praxis – unsere Ultraschallgeräte für die Kardiologie
TEE-Sonden für genauste Echokardiographie
Speichermöglichkeiten für standardisierte Workflow-Protokolle, um Routineuntersuchungen zu vereinfachen
Wartungen und Reparaturen durch unsere Experten
Intelligente Programme für Belastungsuntersuchungen und 3D-Aufnahmen
Trainings- und Schulungsprogramme, damit auch neue Mitarbeiter:innen das Gerät bedienen können
Individuelle Finanzierungsmöglichkeiten, wenn Sie ein Ultraschallgerät kaufen, mieten oder leasen
Stabile Standgeräte für langjährige, exzellente Bildaufnahmen
Intelligente Automatikfunktionen für die wichtigsten Standarduntersuchungen
Persönliche Beratung, die sich auf Ihre Wünsche konzentriert
Ultraschallgeräte gibt's wie Fische im Schwarm
Wir finden das passende Gerät für Sie
